



“I attended the surgery and was seen on time. My dentist, Dhrumil Patel, welcomed me and immediately puts you at...” ease. After my check up, I asked a number of questions, which he answered and explained in such a way, that you can't fail to understand. He also shows images, so its a visual thing as well. He takes his time, which makes you feel its not a production line. All in all, a very pleasant dental experience.”
“Incredible experience start to finish! Dr Jatan was amazing, not pushy at all and was extremely knowledgeable and kind. Invisalign...” treatment went perfectly, whitening too. Can't recommend enough.”
“Excellent! I would never have dreamed of giving a dentist such a comment! But it is true! Highly recommended.”
“Had my hygienist appointment with Mayurahea and was super informative throughout, he was also very gentle during the treatment. I...” attended with my little one who is 20months and Lidia was super with my little one and gave her cuddles whilst I was having my treatment.”
“Good serviceStaff and dentist, polite and courteous, and professional at all times.Would recommend”
“My first appointment at this practice. I am very anxious attending for dental work but I was quickly put at...” ease. As I was having an extraction done I knew it was likely to be a bit uncomfortable but it was no where near as bad as I anticipated.The dentist explained what he was doing all the time and was very calm and reassuring. The tooth was extracted a lot easier than I was expecting. I have decided to stay with this practice and have some restorative work done in due course. Thank you.”
“Crossways Dental at Coulsdon is a friendly and efficient surgery, and the treatment is always up to expectations - professional,...” careful and complete.Overall the experience inspires confidence.”
“I m having implant work done, happy with how the treatment is progressing very friendly and efficient practice.This is the...” second time I have had implant work carried out at this practice, I was pleased with the first treatment in 2021.I am happy with the work of Dr Shane Patel.”
“I come to see the hygienist regularly and she is always very thoroughly masked up to protect us both which...” is a nice and considerate touch. As far as my teeth are concerned, she always gives them a thorough clean and has helped me with some much appreciated tips with sensitive teeth. I had a pain free experience which is always nice. Thank you 😁”
“Great service.The receptionist greeted with a smile .The service from the hyginest was also professional.I would recommend to friends and...” families. .”
“Timely and thorough examination and clean carried out. The dental practitioner discussed any concerns that I had and no further...” action was required. Next check-up in 6 months time. Overall my expectations were more than satisfied.”
“Booked my appointment online and I was made to feel comfortable at my appointment as I have a fear of...” dentists. I have a treatment plan set up which is clear and I can understand my treatment and when it will be and there are no surprises.Also you pay as you go so you don’t get one large bill at the end. The staff are friendly.It was a good experience as I really don’t like going to the dentist.”
“Made an emergency appointment at the start of the year for a toothache and received great service from Dr Vanesha....” She was really friendly and gentle and was able to treat me. I love the online booking system because without it I may have not been able to get in as soon as I did. My elderly father also goes to the practice and Dr Dhrumil is absolutely brilliant with him. A really great, friendly, and professional practice that I would most definitely recommend.”
“Efficient and friendly receptionist. Dentist, Jamie, was professional and personable. Explained everything clearly and without unneccesary jargon. He...” inspired confidence.”
“Seen on time by Dhru, who is very polite, professional and informative. He puts you at ease with his lovely...” manner. His assistant was lovely too. As good an experience as going to the dentist can be. Would happily recommend to family and friends!”
“My family have been patients at the surgery for several years and we are really happy with the care they...” provide. All of the staff are friendly, supportive and helpful and they always give excellent follow up advice.”
“Dhru knows me well and pays attention to detail. It’s a calm and pleasant experience with all new equipment.”
“Visited 30.8.23. Saw Vanesha. Thorough examination and feedback. Caring and fun.”
“Vanesha is a very professional, caring and friendly dentist. I have total trust and confidence under her care. ...” Everyone in the practice I met are very friendly. Hygienist is very friendly and professional too. I am happy to recommend others to join the practice.”
“Vanesha is excellent. I'm quite nervous when it comes to dental procedures and she was super nice and made me...” feel at ease.”
“Newly updated surgery.Receptionist excellent, if not for her input, I may not have taken on the plan. Indigo I...” believe that's her name. Thank you”
“Always a good experience having any dental treatment from Vanesha who knows I am not a very relaxed patient! She...” always takes time to explain any process and is extremely patient with me! I travel 1.5 hours as I moved away but when you find a good dentist, stick with them! Highly recommend this surgery.”
“I have had extremely considerate and friendly attention. I'm lucky to have found this dentist. Thank you”
“My most recent visit, on 16th January 2023, was for a regular session with the dental hygienist; as always, the...” job was thoroughly done in a pleasant atmosphere. I've been attending the practice for many years, under both its current and previous management, and would recommend it to others.Update for 17th July 2023. Another session with a different, but also excellent, hygienist - apart from doing a thorough job in a pleasant and new surgery, she provided useful extra advice on dental care. As before, I'd certainly recommend Crossways to others.Update for 22nd January 2024. I was back to my regular hygienist for this visit and, as always, she did a thorough job in a pleasant manner. I continue to recommend Crossways to others, particularly as refurbishment of the practice is now near completion.”
“My most recent visit, on 16th January 2023, was for a regular session with the dental hygienist; as always, the...” job was thoroughly done in a pleasant atmosphere. I've been attending the practice for many years, under both its current and previous management, and would recommend it to others.Update for 17th July 2023. Another session with a different, but also excellent, hygienist - apart from doing a thorough job in a pleasant and new surgery, she provided useful extra advice on dental care. As before, I'd certainly recommend Crossways to others.Update for 22nd January 2024. I was back to my regular hygienist for this visit and, as always, she did a thorough job in a pleasant manner. I continue to recommend Crossways to others, particularly as refurbishment of the practice is now near completion.Update for 22nd July 2024. Another visit to my regular hygienist, who did her usual friendly and thorough job. My recommendation for Crossways is as before as their service remains excellent.”
“Vanessa is lovely and kind and deals with a nervous patient really gently.”
“The staff are so helpful and professional. The dentist helps you relax and does an excellent job!!!”
“Lovely and clean refurbishment. Great service too. Definitely recommend them.”
“Vanesha is lovely and kind and deals with a nervous patient really gently.”
“Dhrumil is incredibly professional, explains everything thoroughly, is quick and accurate. I would recommend him and his assistant for any...” dental work.”
“I recently registered with crossways dental and they have gone above and beyond with all my and my family's needs...” , the reception is friendly and very welcoming the practice is very clean and staff that I have met so far have been very helpful along the way in getting my gum health to a better place and my smile back to its shiny self .”
“Seen by Dhru, who is very polite, professional and informative. He puts you at ease with his lovely manner. His...” assistant was lovely too. Had a filling this time and it was a pain free experience. Would happily recommend to family and friends!”
“I was very impressed with whole appointment. The dentist himself very efficient and practical a very good experience”
“Really clean, high tech surgery with such a friendly bunch of staff. From reception to dentist everyone was lovely”
“Excellent dental practice. I see Vanesha who is kind, explains everything and is a very good dentist. Thoroughly...” recommend.”
“Ive recently joined and the dental surgery is the best ive been too, clean modern and the team is great,...” thanks to vanesha for a very good filling today.”
“Can't fault the service, prompt response to the issue and pain being experienced, friendliness of the receptionist, and diligence of...” the dentist (Shane) and after care email and telephone call following an extraction. No pain associated with the treatment but cost associated with non-NHS dentistry would frighten many (hence 4*)”
“I cannot recommend Dr. Vanesha Patel at Crossways Dental in Coulsdon highly enough! From the moment I walked in, her...” warm and professional demeanor immediately put me at ease. Dr. Patel has an incredible ability to explain treatments in a way that is clear, thorough, and reassuring, making me feel completely informed and confident about my dental care.Her skill and precision in carrying out the treatment were truly impressive. She worked with such care and attention to detail, ensuring that I was comfortable throughout the entire process. The results exceeded my expectations, and I couldn't be happier with her work.If you're looking for a dentist who combines expertise, compassion, and excellent communication, Dr. Vanesha Patel is the one to see. Thank you for providing such an outstanding level of care—I'll definitely be returning!”
“Excellent service and thank you very much to Dr. Vanesha Patel for checking up my teeth. Great communication and great...” service!”
“Friendly helpful reception staff. Purpose built consulting room, very experienced and skilled dentist, who made encouraging remarks and informed me...” of the process, throughout. Very satisfied”
“Always friendly and efficient from when you walk in as they quickly put you at ease. Vanesha is very likeable...” and skilled, explains everything and you feel in good hands.”
“Had an appointment with Vanesha for a broken front crown... Vanesha was very professional and really went above and beyond...” to help me with my quite complicated tooth problem. Explained well what she was doing step by step. I was quite upset and nervous and her calm manner helped me get through it.Young lady at reception was lovely too friendly helpful and efficient.Thank you all.”
“Just had my first checkup , Very friendly and used great technology to show the status of my teeth with...” recommendations on what and when treatment is recommended.”
“Very friendly and professional service from the receptionist and hygienist. Very pleased with the end result as well.”
“Friendly and efficient. Early days to give a review on success of treatment (implant) but the process was made as...” pleasant as possible, and so far I'm healing well. Particularly appreciated the personal phone call from the dentist himself the day after, to make sure I was doing okay.”
“Crossways is a relatively new dentist to me, but right from the start, the reception staff, dentists and hygienist have...” been helpful, friendly and professional. I am a nervous patient, but have always been made to feel at ease.”
“I was very anxious about going for a checkup and had put it off for far too long. I saw...” Dhrumil Patel and he was the most conscientious clinician I have seen in a long time. He took time to explain everything, was non-judgemental that I hadn't been in a while and was very thorough.”
“I recently visited Crossways dental practice with my mother who is 85 and found the experience to be excellent, from...” the receptionist to the Dr it was very professional and the environment very modern and relaxing. 5 stars”
“I recently underwent a tooth replacement. While the procedure had to take several months to be finally concluded, everything was...” completed professionally and the end result is great. I have no hesitation in recommending the Crossways Dental Practice for any treatments.”
“Dr Jatan Patel, his dental nurse and receptionist were exceptionally professional and had great interpersonal skills.”
“Amazing service from Dr. Dhrumil Patel. I've been a customer for years and always been very happy the way I...” was treated. Careful examination, took their time explaining any issues, and were honest addressing them.”
“I moved to this dental surgery several years ago after a friend recommended it. I have always been very...” pleased with the standard of treatment and excellent customer service.”
“I’m new to the practice, having previously been with a Bupa dentist, so the experience felt quite different. My recent...” visit was to see the hygienist, and while the appointment went smoothly overall, I did feel that it was quite brief and didn’t focus as much on the deeper, more thorough cleaning I’m used to. Additionally, I usually receive tailored advice during my visits, but this time there wasn’t much guidance offered. Perhaps it wasn’t necessary, but overall, it felt as though the hygienist wasn’t as thorough as I would have expected.”
“Excellent service, staff are very friendly and non judgemental. The best dentist i have ever been too! If your new...” to the coulsdon area I 100% recommend crossways dental surgery! My teeth have never felt as good as they do now, expertise advise with a friendly smile, what more could you ask for? 😁❤️”
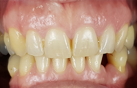
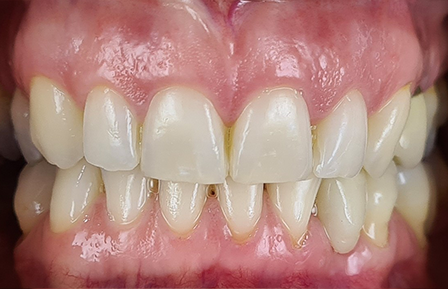
Teeth whitening is one of the most popular cosmetic dental treatments around the world.
As the name suggests, professional teeth whitening treatment can improve the appearance of discoloured teeth by brightening and whitening them, without removing or damaging their protective enamel coating.




In-practice whitening
At-home whitening
Here at Quality Dental, we carry out all forms of teeth whitening including Phillips Zoom! in-surgery whitening, Boutique whitening Day, Night, Combined and Diamond Black ( guaranteed shade B1 ) take-home whitening. Our most popular whitening treatment is Boutique, which has a reputation for being one of the premium whitening brands on the market which also gives guaranteed results.
Enquire NowProfessional teeth whitening should not cause you any pain, though some patients do experience some temporary sensitivity. You should let us know if you have struggled with tooth sensitivity, particularly when using whitening products in the past.
Enquire NowThe BioMin toothpaste from Boutique is a revolutionary concept. It contains a bio-engineered glass matrix filled with mineral ions – Bioglass! Bioglass releases calcium, phosphate, and fluoride ions as it dissolve, to strengthen the enamel layer of the teeth.
When you brush with BioMin, the bioglass bonds to your teeth and releases minerals over the following 12 hours. This process remineralises and protects the teeth, making them ten time more resistant to acid attack, and reduces sensitivity.
The benefits of BioMin Toothpaste
How to use BioMin
Internal Tooth Whitening or Internal bleaching is a whitening procedure commonly performed on dark teeth that have lost their vitality through Endodontic treatment (root canal treatment).
One very dark tooth can also be a sign of extensive decay and damage to the inner structures of the tooth such as an infected or dead tooth pulp. This can make a tooth appear much darker than the surrounding, healthy teeth.
If you are experiencing a severely damaged tooth that is detracting the quality of your smile, Root canal treatment can be carried out to save your tooth and Internal bleaching may be needed in the future to restore its natural white appearance.
We can use the Boutique whitening system to whiten non-vital root canal treated teeth.
Enquire NowAs teeth whitening is a cosmetic treatment, it is not available on the NHS.
Enquire NowThe Boutique B1 Black Diamond 16% carbamide peroxide is considered to be the most popular and effective teeth whitening system. It is an award winning system, which uses 16% carbamide peroxide gel, for up to 6 weeks, and guarantees that teeth will get to VITA shade B1 ( the whitest natural shade ).
Enquire NowBoutique is considered one of the top whitening systems for the following reasons:
Here at Quality Dental we offer several whitening treatments, so you can choose which one suits your lifestyle.
Our professional team have ample experience in carrying out teeth whitening treatment, and will always endeavor to meet your exact needs and expectations, by asking you the right questions from the start.
Quality Dental are proud to be partners and brand ambassadors with Boutique whitening, who provides the most effective and comfortable, professional teeth whitening experience available.
Enquire NowThis will depend on the whitening system you choose. In the case of Boutique, you will wear your bespoke trays for 2 to 3 weeks. After this, you can enjoy your beautifully white and renewed smile.
Enquire NowWe will ask you if you have ever experienced tooth sensitivity in general or after using whitening products in the past, as this may dictate the method of whitening we recommend.
Thanks to the anti-sensitivity BioMin toothpaste which can be used as a part of the whitening process, you can be sure you won’t experience any uncomfortable tooth sensitivity.
Enquire NowThis will depend on how many shades whiter you wish your teeth to be, and which whitening treatment you opt for. Whilst the Boutique whitening system can whiten your teeth to a guaranteed B1 shade, Zoom! and take-home whitening treatments vary between 2-8 shades lighter.
Enquire NowAs we age, it’s normal to sustain some degree of tooth discolouration.
However, there are habits that can cause and worsen discolouration:
The primary aim of stain removal is to clean teeth, with a view to removing stubborn plaque and tartar staining from their surfaces. This prevents and reduces the risk of tooth decay and gum disease, but will not result in changes to your tooth shade.
Enquire NowTeeth whitening can alter the shade of your teeth. by triggering a chemical reaction that breaks down the carbon bonds that produce yellow stains. Once broken, the bonds cease to reflect a yellow shade and your teeth look whiter and brighter.
Enquire NowTeeth whitening treatment is only ever safe when carried out and overseen by a registered and trained dental professional. This is because the whitening trays are made uniquely for your teeth, so there is no risk of the whitening agent making contact with your gums.
Enquire NowProfessional teeth whitening treatment carried out by a dentist is the only guaranteed, safe way of whitening your teeth, and achieves significantly top results than online kits. Many online whitening kits are ineffective as their chemistry is very week and cannot whiten your teeth for the adequate amount of time needed to produce noticeable results.
Whitening kits purchased online can also contain harmful levels of hydrogen peroxide, and should this come into contact with your gums, you risk causing irrevocable damage.
As professional teeth whitening involves having custom fitting whitening trays created, the hydrogen peroxide will not come into contact with your gums. Online bought whitening kits use one-size-fits-all ill-fitting whitening trays which not only produce an uneven result and cause damage to your gums, but put you at risk of being in severe pain.
Enquire NowThe effects of teeth whitening are not permanent and can last from between a few months, up to 4/5 years, as long as the whitening trays remain a great fit for your teeth and the shade is maintained by using the whitening gels. The duration of the effects depends on the care you afford your teeth after treatment, how regularly you consume teeth staining food and drink and attend the hygienist, and how often you engage in habits such as smoking. Regular teeth whitening treatment ensures your teeth remain bright, white and beautiful.
Enquire Now
Hayley Roberts Lead Treatment Coordinator GDC No. 148999
Lucy Jayne Cartwright Treatment Coordinator GDC No. 142928